Przypadek 9. Preparat Nr 026 NB

Paweł Burian,
Skovde Sjukhuset, Skovde, Szwecja


Mężczyzna 80 lat. Od roku  narastająca duszność. Angina pectoris, niewydolność krążenia. Trudności w połykaniu. Bóle ramion i nóg. Zawroty głowy. Objawy niewydolności nerek i wątroby, spadek trombocytów. Tydzień przed zgonem narastający niedowład rąk i nóg.
MR kręgosłup: zwężenie odcinka szyjnego oraz wypadający dysk odc. piersiowego.
Diagnoza kliniczna: Niewydolność krążenia. Para/tetraparesis. Hypotonia. Niewydolność nerek i wątroby.
Zapytania do obducenta:      paraneoplasia?  myelitis?
Sekcja zwłok:    Przyczyna zgonu: zapalenie płuc, niewydolność krążenia.
Żadnych zmian makroskopowych w odcinku szyjnym i piersiowym rdzenia.
Do badania histopatologicznego pobrano wycinki z rdzenia kręgowego, nerki, śledziony i szpiku.
Immunofenotyp:
keratyna (Cam 5.2) neg
CD 45+; CD20+; CD5 -; CD10 -; CD23 -; CD 138 -; bcl-2 +; vimentin +; CD31 -; CD34 -; p53 -;Ki-67 > 80% +;
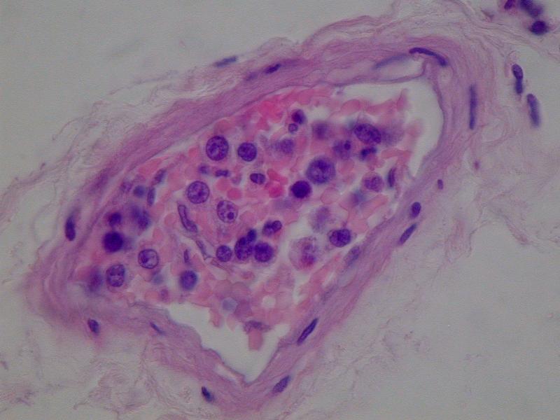
Rozpoznanie histologiczne:
Intravascular large B-cell lymphoma
obejmujący naczynia rdzenia kręgowego, nerek (kłębki/naczynia miąższu oraz wnęki),
śledziony, oraz sinusoidy szpiku