Przypadek 6. Preparat Nr P-4989-03 B

Roman M. Krenz, Janusz Matusik, György Csanaky,
Laboratoriet for Klinisk Patologi och Cytologi, Södra Älvsborg Sjukhus Boras, Szwecja


Kobieta lat 86, wcześniej poważnie nie chorowała. Od kilku miesięcy powoli rosnący, spoisty, ruchomy, niebolesny guzek (węzeł?) w okolicy podżuchwowej prawej, średnicy 1,5 cm. Biopsja cienkoigłowa: skąpy materiał zawierający małe limfocyty. Odczynowy węzeł chłonny? Materiał pooperacyjny: ślinianka podżuchwowa o wymiarach 3,5 x 2,5 x 1,0 cm o normalnym wyglądzie oraz stycznie do niej położony guzek, przypominający węzeł chłonny: otorebkowany, owalny, spoisty, średnicy 1,5 cm. Do badania nadesłano resekowany guzek okolicy podżuchwowej prawej

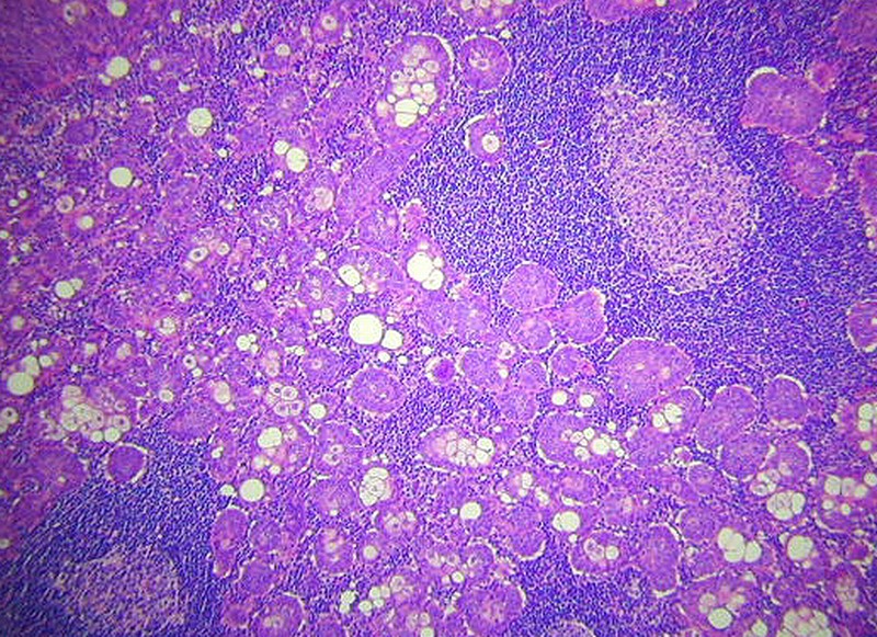
(40x HE) Typowy obraz lymphadenoma sebaceum: grupy komórek nabłonkowych z ogniskowym różnicowaniem łojowym rozrzucone w limfatycznym zrębie.


(400x HE) Wyraźne rożnicowanie łojowe widoczne w części ognisk nabłonkowych w lymphadenoma sebaceum.


(100x HE) Mniejszy, otorebkowany guzek bez zrębu limfatycznego odpowiadający adenoma sebaceum.


(CK MNF 100x) Reakcja imunohistochemiczna dla cytokeratyn (CK MNF) w lymphadenoma sebaceum.


(S100 100x) Reakcja immunohistochemiczna dla białka S-100 w lymphadenoma sebaceum.


Gruczolak łojowy limfatyczny (Lymphadenoma sebaceum) gruczołu ś

Gruczolak łojowy limfatyczny śliniance podżuchwowej.




Przedstawiany przez nas przypadek gruczolaka łojowego limfatycznego dotyczy starszej kobiety (lat 86), wcześniej nie chorującej. Poza tym, że zmiana wystąpiła w niezwykle rzadkiej lokalizacji pierwotnej – w śliniance podżuchwowej, pozostały przebieg kliniczny był typowy.

Pacjentka zauważyła powoli rosnący, niebolesny, spoisty, ruchomy guzek w okolicy podżuchwowej prawej, który w momencie zgłoszenia miał 1,5 cm średnicy. Próba zdiagnozowania zmiany biopsją cienkoigłową się nie powiodła. Materiał w biopsji był skąpy i zawierał wyłącznie małe limfocyty. W diagnozie sugerowano możliwość odczynowego węzła chłonnego.

Zmiana nie powiększała się, jednak po około 6 miesięcznej obserwacji zdecydowano się usunąć ją operacyjnie. Ponieważ okazało się, że guzek związany był ze ślinianką podżuchwową, wraz z guzem usunięto cały gruczoł.

Materiał pooperacyjny: ślinianka podżuchwowa o wymiarach 3,5 x 2,5 x 1,0 cm o normalnym wyglądzie oraz stycznie do niej położony guzek przypominający węzeł chłonny: otorebkowany, owalny, spoisty, średnicy 1,5 cm. Na przekroju guzek był lity, z obecnością białawych nieregularnych ognisk.

Histologicznie guzek składa się z dobrze odgraniczonych strutur nabłonkowych, leżących w obrębie intensywnego chłonnego zrębu. Elementy nabłonkowe tworzą tubularne struktury gruczołowe. W części utkania guza występują luminalnie komórki z obfitą, charakterystyczną dla różnicowania łojowego drobnowakuolarną cytoplazmą. Brak torbieli. W guzie obecne są również większe lite ogniska z różnicowaniem płaskonabłonkowym. Zrąb chłonny zawiera liczne centra rozrodcze.

Ponadto w obrębie guza występują odrębne otorebkowane ogniska o odmiennym utkaniu niż reszta zmiany. Guzki mają średnicę kilku milimetrów, są częściowo zbudowane z komórek typu bazalnego, częściowo z nabłonka wielowarstwowego płaskiego z tworzeniem drobnych torbielek i częściowo z dojrzałych komórek łojowych. Guzki, w przeciwieństwie do otaczającej głównej zmiany, nie posiadają limfatycznego zrębu. Mają zrąb łącznotkankowy, ogniskowo myksoidny. Obraz odpowiada drobnym gruczolakom łojowym (adenoma sebaceum).

W barwieniu mucykarminem stwierdzono, zarówno w zmianie głównej, jak i w mniejszych gruczolakach, obecność pojedynczych komórek produkujących śluz.

Ze względu na rzadkość zmiany badanie zostało przesłane do weryfikacji do szwedzkiego krajowego konsultanta guzów gruczołów ślinowych (doc. Göran Elmberger, Karolinska Universitetssjukhuset w Sztokholmie), który w pełni potwierdził rozpoznanie.



WYSTĘPOWANIE I OBRAZ KLINICZNY


Gruczolak łojowy limfatyczny jest jednym z najrzadszych guzów ślinianek i stanowi wg AFIP ok. 0,1% gruczolaków.

Po raz pierwszy guz został opisany w 1960 roku przez McGavrana i wsp. pod nazwą lymphadenoma sebaceum oraz w tym samym roku przez Kozłowskiego i Woźniaka pod nazwą adenoma lymphomatosum sebaceum (za Sikorowa, 1989). Opublikowano do tej pory około 50 przypadków tego nowotworu.

Zmiana występuje podobnie często u obu płci. Najczęściej dotyczy grupy wiekowej 50 – 80 lat. Najmłodszy pacjent miał 25 lat. Znane są pojedyncze opisy jednoczesnego występowania gruczolaka łojowego z guzem Warthina i z acnic cell carcinoma.

Klinicznie gruczolak łojowy limfatyczny ujawnia się jako powoli rosnący, niebolesny guzek, w ponad 90% w śliniance przyusznej lub w jej otoczeniu. Niezwykle rzadko może wystąpić w śliniance podżuchwowej lub z drobnych gruczołów ślinowych w błonie śluzowej policzków (Maruyama i wsp., 2002) i na szyi w linii środkowej. Klinicznie guzek często jest oceniany jako węzeł chłonny.


OBRAZ MAKROSKOPOWY I MIKROSKOPOWY


Gruczolak łojowy limfatyczny jest najczęściej otorebkowany - całkowicie lub częściowo, czasem jednak jest nieotorebkowany, ale zawsze dobrze odgraniczony. Znajduje się go w obrębie samej ślinianki, stycznie do niej lub w jej otoczeniu. Guzek może być lity, drobnotorbielowaty lub mieszany. Ewentualne torbiele wypełnione są żółtą, mazistą, lipidową treścią. Osobną odmianę stanowi guz złożony z pojedynczej torbieli z wyściółką nabłonkową zawierającą komórki łojowe i tkanką chłonną w ścianie (lymphadenoma sebaceum cysticum vel benign lymphoeithelial cyst) (Gnepp i wsp. 1980).


Mikroskopowo guz zbudowany jest z nieregularnych, litych lub torbielowatych gniazd komórek nabłonkowych z ogniskowym różnicowaniem łojowym. Ogniska nabłonkowe otoczone są obfitym, limfatycznym zrębem. W gniazdach nabłonkowych lub w wyściółce torbieli stwierdza się, prócz komórek łojowych, elementy nabłonka kuboidalnego, cylindrycznego lub wielowarstwowego płaskiego. Barwienie na śluz wypada zwykle dodatnio w nielicznych komórkach. Utkanie guza może zawierać ogniska ziarniny resorpcyjnej, zwłaszcza w otoczeniu torbieli, jako reakcja na łój i keratynę. Zrąb limfatyczny przypomina utkanie węzła chłonnego. Limfocyty są gęsto skupione. Grudki chłonne mogą być liczne, pojedyncze lub nieobecne.

OMÓWIENIE I DIAGNOSTYKA RÓŻNICOWA


Ektodermalny nabłonek przewodowy gruczołów ślinowych ma zdolność wielokierunkowego różnicowania się, stąd charakterystyczna różnorodność morfologiczna nowotworów ślinianek. Różnicowanie w kierunku komórek łojowych w śliniankach jest znane od dawna (przegląd piśmiennictwa Sikorowa, 1989). Komórki łojowe można spotkać w prawidłowej śliniance, w stanach zapalnych i zanikowych, w monomorficznych nowotworach łojowych łagodnych (adenoma i lymphadenoma sebaceum) i złośliwych (adenocarcinoma i lymphadenocarcinoma sebaceum) oraz jako komponenta w innych nowotworach: tumor mixtus, guz Warthina, carcinoma mucoepidermale, oncocytoma, adenoid cystic carcinoma, basal cell adenoma (za Gnepp i wsp. 1984).

Innym zjawiskiem, charakterystycznym dla ślinianek są stany nienowotworowe i nowotworowe z przemianą limfatyczną zrębu. Spośród nich, według Auclair, 1994, w podstawowym leksykonie patologa znajduje się przede wszystkim gruczolak limfatyczny kwasochłonny - guz Warthina (adenoma papillare lymphomatosum) i łagodna choroba Mikulicza (laesio lymphoepithelialis benigna). Bogaty limfatyczny zrąb, jako integralny składnik nowotworu, obserwuje się ponadto w takich jednostkach jak: gruczolak limfatyczny łojowy (lymphadenoma sebaceum), gruczolak limfatyczny łojowy torbielowaty (lymphadenoma sebaceum cysticum vel benign lymphoeithelial cyst), gruczolak limfatyczny bez różnicowania łojowego (wg AFIP: Lymphadenoma That Lacks Sebaceous Differentiation), złośliwa postać choroby Mikulicza (laesio lymphoepithelialis maligna vel carcinoma lymphoepitheliale) oraz gruczolakorak limfatyczny łojowy (adenocarcinoma sebaceum lymphomatosum). Często obfity zrąb limfatyczny można spotkać również w acinic cell carcinoma i carcinoma mucoepidermale. Współobecność elementów nabłonkowych i limfatycznego zrębu dotyczy także w chłoniaków, o których nie można zapominać, gdyż stanowią piąty co do częstości złośliwy nowotwór gruczołów ślinowych.

Istota limfatycznej komponenty w nabłonkowych nowotworach ślinianek nie jest jednoznacznie wyjaśniona. Według jednej z koncepcji nowotwory z bogatym zrębem limfatycznym powstają pierwotnie z nabłonkowych inkluzji w obrębie śródśliniankowego węzła chłonnego. Guzy te, we wczesnym stadium, mogą makroskopowo bardzo przypominać węzeł chłonny, choć histologicznie zwykle nie potwierdza się obecności typowych struktur anatomicznych węzła, takich jak np. zatoki brzeżne. Według innej koncepcji, limfatyczny zrąb nowotworowy odpowiada nasilonej reakcji immunologicznej towarzyszącej nowotworowi (Auclair, 1994), określanej różnymi terminami: TIL-tumor infiltrating lymphocytes, TALP-tumor-associated lymphoid proliferation, TALR- tumor-associated lymphoid reaction


Typowy obraz histologiczny gruczolaka łojowego limfatycznego jest charakterystyczny i diagnostycznie jednoznaczny. Guz ten jednak występuje niezmiernie rzadko i niewielu diagnostów miało okazję się z nim zetknąć. Zderzenie elementów nabłonkowych i chłonnego zrębu w obrębie otorebkowanej, przypominającej węzeł chłonny, struktury, szczególnie w guzach z dominacją ognisk litych i płaskonabłonkowych, może nasunąć podejrzenie przerzutów wysoko dojrzałego raka płaskonabłonkowego. Zwłaszcza, że w przedziale wiekowym 50-80 lat przerzuty są jedną z najczęstszych przyczyn bezobjawowego powiększenia „węzła chłonnego” na szyi.

W wycinkach z guza nie zawierających wyraźnego różnicowania łojowego, obecność litych i płaskonabłonkowch ognisk z pojedynczymi komórkami wydzielającymi śluz, może wymagać różnicowania z wysoko dojrzałym, pierwotnym lub przerzutowym, carcinoma mucoepidermale. Charakterystyczny zrąb, brak atypii, napotkanie różnicowania łojowego w dobranych wycinkach prowadzi do właściwego rozpoznania.



LECZENIE


Leczenie jest operacyjne. Według Ellis i Auclair, AFIP, 1996 w opisywanych w literaturze przypadkach stosowano parotidektomie, miejscowe wycięcie z otaczającym miąższem ślinianki lub „enukleację” samego guza. Jedynie w jednym przypadku wystąpił nawrót, jednak pierwotna metoda leczenia operacyjnego w tym przypadku nie

jest znana.



PIŚMIENNICTWO


Auclair, P.L.: Tumor-associated lymphoid proliferation in the parotid gland. A potential diagnostic pitfall. Oral Surg Oral Med Oral Pathol 77:19-26, 1994.


Batsakis, J.G., el-Nagar, A.K.: Sebaceous laesion of salivary glands and oral cavity. Ann Otol Rhinol Laryngol 99:416-18, 1999.

Ellis, G.L., Auclair, P.L.: Atlas of Tumor Pathology. Tumors of the Salivary Glands, AFIP, 1996.


Ellis, G.L., Auclair, P.L., Gnepp, D.R.: Surgical Pathology of the Salivary Glands, W.B. Saunders Company, 1991.


Gnepp, D.R., Sporck, F.T.: Benign lymphoepithelial parotid cyst with sebaceous differentiation – cystic sebaceous lymphadenoma. Am J Clin Pathol 74: 683-687, 1980.


Gnepp, D.R., Brannon, R.: Sebaceous neoplasms of salivary gland origin. Cancer 53:2155-2170, 1984.


Maruyama, S., Cheng, J., Inoue, T., Takagi, R., Saku, T.: Sebaceous lymphadenoma of the lip: report of a case of minor salivary gland origin. J Oral Pathol Med. 31:242-3, 2002.


Seifert, G.: WHO Histological Typing of Salivary Gland Tumours, Springer-Verlag, 1991.


Sikorowa, L.: Patologia i klinika guzów ślinianek w: Sikorowa, L., Meyza, J.W.: Guzy ślinianek, PZWL Warszawa, 1989